Історія пані Галини з Хмельниччини
- Ксенія Сергіївна Шокіна
- 28 лют. 2024 р.
- Читати 3 хв
Оновлено: 29 лют. 2024 р.
28 лютого 2024

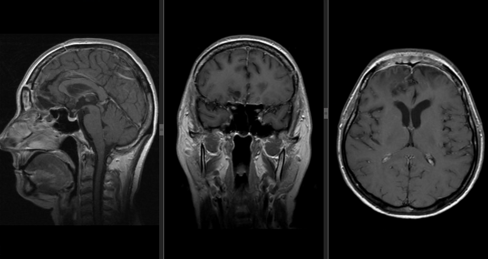
Пані Галина 2 роки не відчувала запахів, але у часі це збіглося із пандемією COVID-19, тож значної уваги цьому вона не надавала. Виявилося, що порушення нюху та апатія сигналізували, що в організмі весь цей час росте пухлина – менінгіома риноольфакторної ділянки, яку ще називають менінгіома площадки основної кістки. Жінку прооперували лікарі Обласного клінічного центру нейрохірургії та неврології м. Ужгорода й зараз вона активно відновлюється та повертається до звичного життя.
«У мами були скарги на головний біль, вона швидко втомлювалась, весь час хотіла прилягти, мала апатію. Я помічала, що мама плутає якісь речі, розповідає те, що вже розповідала. Я думала, що це депресія, а виявилася пухлина. Вона зверталася до лікарів і, на жаль, ніхто не радив зробити МРТ чи КТ, щоб виключити проблеми в головному мозку. А потім за тиждень до операції їй різко стало погано і вже в лікарні їй зробили обстеження. Результати були невтішними для нас – пухлина головного мозку», – розповідає донька пані Галини Тетяна.
Сім’я почала шукати нейрохірурга, питали знайомих, до кого б порадили звернутися.
«Ми від 3 знайомих, які живуть і в Україні, і в Польщі почули рекомендацію Нейроцентру. Я почала читати відгуки на сайті, у Фейсбуці, зв’язувалася з пацієнтами, яких знайшла у соцмережах і тому дуже вдячна, що люди пишуть відгуки. Це давало надію, бо я розуміла, що мені є в кого запитати. Так ми звернулися до Володимира Смоланки. Володимир Іванович прийняв нас у середу і на п'ятницю вже була запланована операція – це дуже швидко», – зауважує Тетяна.
Професор Володимир Смоланка пояснює: «Пухлина була гігантських розмірів – більше 6 сантиметрів у діаметрі й локалізувалася у риноольфакторній ямці, тобто це ділянка носа й очей. Вона була небезпечною для життя пацієнтки. Складність була ще й у тому, що вона проросла через два зорові нерви та кілька судин: передню сполучну артерію й обидві сонні артерії. Якщо пошкодити одну з цих судин, у післяопераційному періоді в пацієнта буде обширний ішемічний інсульт із високим ризиком смерті. Цікаво, що для таких утворів серед іншого характерна клініка – порушення нюху. Через пандемію COVID-19 пацієнтка могла не звернути на це увагу. Ми з командою видалили пухлину одним етапом і післяопераційне МРТ показало тотальне видалення. Гістологія підтвердила, що, як ми й передбачали, це менінгіома – доброякісна пухлина».
Після операції пані Галина провела в Нейроцентрі близько тижня.
«Із вибором клініки нам дуже пощастило, – впевнена Тетяна. – Ми дуже хвилювалися за лікування, але лікарі зробили все, щоб ми були спокійними. Ми мали всю інформацію і не мали жодних сумнівів. Мама зараз постійно говорить, що такого сервісу і турботи, як була в Ужгороді, в інших лікарнях немає. Лікарі Дмитро Сікорський та Олександр Яртим були на зв’язку 24 години. При тому, що ми ж розуміємо, що ми не одні. Ми отримували максимальну допомогу та відповіді на всі питання. Пов’язки вчасно змінювали. Нас усім забезпечували: питань щодо ліків, харчування взагалі не було. Батьки досі на контакті з лікарями, вони пишуть нам перші, якщо батьки не дають про себе знати.
Після операції вона дуже активна, швидко повертається до норми. Мама ще лікується, бо є деякі проблеми з зором через саму пухлину, але вона добре почувається. Останні дні перед операцією вона практично не пам’ятає. А зараз люди, які з нею спілкуються, навіть не помітять, що була операція.
Дуже раді, що потрапили у ваш центр. Я досі під враженням. Вважаю, що ваш центр потрібно максимально рекламувати, щоб побільше людей знали та приїжджали. Бо саме тут дають надію на одужання, якщо знати, що такий центр існує в Україні».
Для запису на консультацію лікарів ОКЦНН, телефонуйте: +38 (067) 521 60 72 або +38 (063) 866 38 68.
Обласний клінічний центр нейрохірургії та неврології










Коментарі